检查价格:8000
设备型号:西门子系列
服务时间:周一周五:8:00-16:30,周六:8:00-12:00
医院地址:徐州市泉山区黄河西路118号蓝湾商务广场(北区)1号楼1-101
微信扫一扫,预约更便捷
预约电话:4000-211-357
全景医学影像是致力于疑难病诊断的专业医疗机构。
作为精准影像的追寻者,深度健检的实践者、专属医疗的提供者,全景医学影像以精准影像诊断为主要技术支撑,以“专业立身、学术引领”为发展理念,执行严格的国际标准质控体系,以国际化医疗服务标准和理念为国内外特需人群提供精准影像诊断,并基于疑难病诊断能力开展深度绿色健检,多学科联合咨询等专属医疗延伸服务。
现阶段的公共医疗管理系统并不完善,医疗成本高、渠道少、覆盖面低,大医院往往人满为患,尤其是在疑难病诊断方面,大众是比较偏向于选择大医院、大专家的,所以为了能够让更多的患者早日享受到安全、便利、优质的影像诊断服务,我们就必须要搭建一套智慧医疗信息网络平台体系,整合优质的医疗资源,共同打造一个可以实现上下联动、互通互联、资源共享的分级诊疗新格局,而全景云平台就是我们在这方面的初步探索。”
据居培明先生介绍,全景医学影像的云平台,可以实现影像资料云储存、远程阅片、远程报告、远程影像会诊、大数据分析和人工智能研究等几大功能,通过链接全景医学影像各中心、公立医院、非公医院以及基层医院等各医疗机构,可以实现区域内影像设备及影像诊断专家的充分共享和高效协作,达到均衡医疗资源、提高基层医院诊疗水平、提高影像设备的使用效率,而这对于患者就诊来说,不仅可以少走弯路、降低费用,更重要的是能够享受到更高品质的诊疗服务。
对于AI智能的应用,是全景医学影像在智慧医疗建设方面的另一探索。众所周知,医疗+AI是人工智能最受关注的领域之一,近年来随着AI从实验走向应用,其在不同场景中辅助医生取得更高效、更准确、更早期的诊断,成效已经是有目共睹。而全景医学影像引入AI阅片,也正是从患者和医生的角度出发,既提高阅片效率,同时注重阅片准确率。
“很多人都担心AI阅片是会出现错误,首先其实它的准确率非常高,全景AI阅片的诊断结果是基于全景各中心的放射及核医学影像大数据和人工智能深度学习、数据挖掘技术及图像分割、特征提取技术,去准确识别疾病病灶并量化;其次就是它目前还是以辅助医生为主,替代部分重复劳动,医生会进行二次读片和审核,而且真正复杂的、需要综合判断的工作最终还是要有医生来负责。”居培明先生告诉我们道。另外他还强调,全景医学影像的三级报告审核制度、医生巡回上机扫描制度也会从标准层面做好影像诊断的质量管理。
“智慧医疗建设是我们全景医学影像追求的方向,也符合我们‘优于诊断、长于整合’的创新模式”,居培明先生郑重地说道:“只有在这方面不断创新、不断进步,才能创造出更科学、更高效的服务模式,同时有效地提升医疗水平,从方式和结果两方面,为广大群众打造医学影像诊断新体验!”
徐州是全景医学影像第一家在地市级城市成立的影像中心,也是全景在全国布局的第九个中心。淮海经济区辐射人口超1亿人,徐州作为淮海经济区的中心城市,是一个千万级人口的大城市,有着丰富的医疗卫生资源和大健康产业需求,全景医学影像希望以入驻淮海大健康产业园为起点,推动全景和徐州市更多医疗机构和医疗产业的大合作。 此次战略合作的圆满签署,标志着双方合作进入深化落实的全新阶段。全景医学影像将围绕徐州泉山区经济社会发展的战略需求,积极发挥在科研、医疗、人才、设备等方面优势,为徐州乃至淮海经济区的医疗影像事业作出更大贡献。
40至60岁是恶性肿瘤快速升高,集中爆发的时期。[1] 早期癌症其实没有什么典型的临床症状,即便有一些不典型表现,也容易被忽视。当身体有明显感觉时,往往已经到了中晚期。
因此,40-60岁进行肿瘤的早期筛查很有必要。
随着医学技术的不断完善,综合运用多种检查手段早期发现全身肿瘤已不再是难题。作为独立医学影像诊断中心,徐州全景推出PET/CT与MR联合检查,融合诊断新技术,充分发挥不同设备优势,为临床诊断治疗提供丰富可靠的依据。
PET/CT对肿瘤细胞敏感度高,适合全身转移情况探查
CT密度分辨率高,对肺、骨、关节等病灶成像清晰
磁共振(MR)软组织分辨率高,对实质性脏器、血管、神经、前列腺、关节等病灶显示较好
案例分享
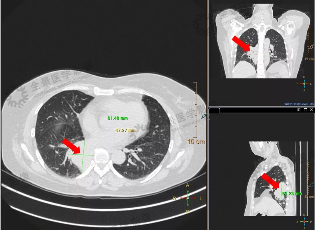
中年女性,咳嗽半年,做CT检查发现有占位性病变,但不能确定性质。通过PET/CT,发现右肺下叶肿块,在双侧肺门淋巴结、左侧股骨颈、脑部等多部位有代谢异常增高区域,考虑多处转移。

右肺下叶软组织肿块

左股骨颈骨质破坏
由于大脑皮层活跃时也有正常的代谢增高表现,仅凭PET/CT还不能准确定性脑部高代谢区域的性质,因此又有针对性地做了头颅磁共振扫描。
经过PET/CT和MR检查图像融合分析后确定:左额中回的高摄取区未发现占位,考虑为正常脑实质代谢;额定交界区高代谢结节考虑为转移。

额中回高代谢结节,考虑正常脑实质代谢

额顶交界区高代谢结节,考虑转移
PET/CT与MR异机融合技术,优势互补,为明确病情提供更有价值的诊断信息。同时,徐州全景“一站式”的检查服务,也减少了受检者的等候时间和奔波劳苦。
[1] 参考资料:《2019年全国癌症报告》
1、PET/CT-MR异机融合扫描需要您先后进行MRI及PET的扫描检查,总检查时长大概在150分钟左右,期间会有2次上机检查,上机时间大概在60分钟左右。
2、检查前请禁食及含糖饮料(水除外)6小时;受检者7天内无钡餐透视及钡灌肠史。
3、受检者血糖应当控制在正常范围。糖尿病患者需加以说明,并在检查前将血糖浓度控制在10mg/dl以下;若血糖过高,会影响影像质量,必要时需进行降血糖处理。
4、孕妇及婴幼儿禁止此项检查;哺乳期妇女如需检查请提前告知。
5、装有心脏起搏器以及人工金属瓣膜、人工耳蜗者禁止做MRI检查。
6、体内装有金属植入物如人工关节、血管夹支架、吻合钉等不能做MRI检查。
7、请携带受检者以往检查资料,包括以往所有影像学检查资料等。
8、请按照预约时间到达本中心进行检查。
一、提交您的预约信息(微信或表单)
二、工作人员在30分钟之内回复您
三、按照安排好的时间到医院检查
一、检查费用到医院再交
二、因为预约人数较多请提前2-3天预约
一、PETCT/MR是一项特殊的检查,需要根据检查人数提前配置药物,请务必预约,切勿盲盲目前往医院,没有预约,到了医院也无法做检查
二、药物有半衰期,过期药物会失效,请务必按预约的时间到达医院。
三、如不能按时检查,请至少提前一天通知我们取消您的预约
① 在检查前一天禁酒、禁做剧烈运动或者长时间运动,进清淡饮食;
② 到医院进行PETCT检查前,需带齐资料(病史记录、有关情况、影像学检查资料如CT、MRI、ECT等)备查;
③ 检查前需要禁食6小时,即空腹六小时才可以做检查,只能少量喝水。 避免服用高糖类物质,禁饮含糖饮料,糖尿病人正常用降糖药 或胰岛素;
①检查前排空膀胱,排尿时尽量避免尿液,污染体表和衣裤。
②petct检查前,被检者在注射显像药物后应保持安静,不要走动不说话,可以少量饮水。
③药物注射前后1小时保持放松体位及休息状态,注意保暖,进入检查室时,受检者取下身上佩戴的金属物品。
① 尽量多喝水,以利于注射显像剂的代谢而排除体外,一般2-3个小时后,可以将注射到人体的显像剂残留通过尿液全部排除干净;
② 检查后6个小时内建议最好不要接触孕妇和婴儿;
③ 检查后如出现异常,应立即向PET-CT中心的医务人员说明情况,以便医务人员及时做出处理。